-
피부병 - 구강 피부염에 대하여피부병에 관하여 2024. 2. 27. 04:13반응형
목차
서론 - 피부병 - 구강 피부염에 대하여
본론 - 구강 피부염에 종류와 원인
결론 - 구강 피부염에 대한 예방법과 치료법
구강 피부염 서론 - 피부병 - 구강 피부염에 대하여
구강 피부염은 다양한 원인으로 인해 발생할 수 있는 염증 상태입니다. 예를 들어 미생물 감염, 알레르기 반응, 약물 부작용, 건조한 환경, 그리고 흡연 등이 원인이 될 수 있습니다. 구강 피부염에 증상으로는 입 주변 피부의 붉음과 부어오름, 가려움, 건조함, 갈라짐, 통증 등이 나타날 수 있습니다. 이를 치료하기 위해서는 원인에 따른 치료가 필요합니다. 미생물 감염의 경우 항생제 연고나 항진균제 연고를 사용하고, 알레르기 반응이 원인인 경우에는 알레르겐을 피하거나 항히스타민제를 사용합니다. 약물 부작용이 원인인 경우에는 의사와 상담하여 약물을 변경하거나 중단해야 합니다. 또한, 증상을 완화하기 위해 보습제 사용, 찬물 찜질, 자극적인 음식과 음료를 피하는 등의 조치가 필요합니다. 예방을 위해서는 입 주변 피부를 깨끗하게 유지하고 부드럽게 닦으며, 강한 비누나 세정제, 알코올 함유 제품을 피하고, 흡연을 피해야 합니다. 또한, 보습제를 사용하여 피부를 촉촉하게 유지하고, 건강한 식습관을 유지하고 스트레스를 관리하는 것이 중요합니다. 만약 증상이 심해지거나 치료에 반응하지 않는다면 전문 의료기관을 방문하여 정확한 진단과 치료가 필요합니다.
본론 - 구강 피부염에 종류와 원인
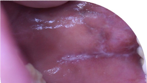
칸디다증
칸디다증은 칸디다 균이라는 효모의 과도한 성장으로 인해 발생하는 곰팡이 감염입니다. 칸디다 균은 피부, 입, 질, 소화관 등 신체의 여러 부위에 자연적으로 존재합니다. 이러한 감염은 면역 체계의 약화, 항생제 장기간 사용, 습한 환경, 호르몬 변화, 흡연, 그리고 덴처 또는 보철물 사용 등의 다양한 요인에 의해 발생할 수 있습니다.
다음과 같은 원인이 있을 수있음
면역 체계 약화: HIV/AIDS, 당뇨병, 백혈병, 화학 요법 등 항생제 장기간 사용: 항생제는 유해한 박테리아뿐만 아니라 칸디다 균을 포함한 유익한 박테리아도 죽일 수 있습니다.
습한 환경: 젖은 옷을 오랫동안 입거나 습한 환경에 오랫동안 머무르는 경우 호르몬 변화: 임신, 생리, 피임약 복용 등 흡연
덴처 또는 보철물 사용
다음과 같은 증상이 있을 시 확인해야합니다.
-구강 칸디다증의 증상은 다음과 같습니다.
-입 주변의 붉고 붓고 가려운 피부
-입 안쪽의 흰색 반점, 흔히 "치즈 혀"라고 불림 -입술의 갈라짐
-입 안의 통증 또는 불편함
-삼키기 어려움
접촉 피부염
접촉 피부염은 피부가 특정 물질에 직접 닿아 발생하는 피부의 염증으로, 주로 알레르기 반응이나 자극으로 인해 발생합니다.
다음과 같은 원인이 있을 수 있습니다.
알레르기 반응: 면역 체계가 특정 물질에 과민 반응하여 염증을 유발합니다. 흔한 알레르기 반응을 일으키는 물질로는 립밤, 치약, 구강 세척제, 향료, 색소, 보존료 등이 있습니다.
자극: 피부를 직접 자극하여 염증을 일으키는 요인입니다. 강한 비누 및 세정제, 알코올 함유 제품, 뜨거운 물, 햇빛 등이 흔한 자극물질로 알려져 있습니다.
다음과 같은 증상이 있을 수 있습니다.
발진: 피부가 붉고 가려우며 발진이 발생합니다.
붓기: 주로 눈 주변이나 입 주변에서 발생하며, 부을 수 있습니다.
물집: 심한 경우 물집이 생길 수 있습니다.
통증: 염증으로 인해 통증이 발생할 수 있습니다.
결론 - 구강 피부염에 대한 예방법과 치료법 예방법
자극적인 물질을 회피하고 알레르겐과 같은 물질도 피해야 합니다.
알레르기를 유발할 수 있는 물질을 피해야 하고 그것들의 예들은 립밤, 치약, 구강 세척제, 향료, 색소, 보존료 등이 있습니다.
자극적인 음식 및 음료도 피해야 하는데 예를 들어 매운 음식, 뜨거운 음료, 술 등등입니다.
햇빛에 노출될 때는 자외선 차단제를 사용해야 합니다. 햇빛은 피부를 자극하고 염증을 악화시킬 수 있습니다.
건강한 생활 습관 유지하며 몸에 피로를 해소시켜주어야 합니다.
면역 체계를 강화해야 합니다. 건강한 식단을 섭취하고, 규칙적으로 운동하고, 충분한 수면을 취해야 합니다.
스트레스를 관리해야 합니다. 스트레스는 피부 질환을 악화시킬 수 있습니다.
정기적으로 병원에 내원하여 건강검진을 받아야 합니다.
피부과 전문의에게 정기적으로 검진을 받아야 하고 특히 만성적인 피부 질환을 가진 경우 더욱 중요합니다.
'피부병에 관하여' 카테고리의 다른 글
피부병 - 족선염에 대하여 (0) 2024.02.29 피부병 - 홍반증에 대하여 (0) 2024.02.28 피부병 - 아토피에 대하여 (0) 2024.02.25 피부병 - 모낭염에 대하여 (0) 2024.02.23 피부병 - 천연두에 대하여 (0) 2024.02.22